Qu’est ce qu’une dent incluse ?
Une dent incluse est une dent qui est bloquée, retenue et ne peut évoluer favorablement à sa place sur l’arcade.
Les patients développent le plus souvent ce problème avec la troisième molaire mandibulaire (dent de sagesse inférieure). Les dents de sagesse n’étant pas très importantes au niveau fonctionnel, celles-ci sont le plus souvent extraites.
La seconde dent la plus atteinte par ces phénomènes d’inclusion est la canine maxillaire (supérieure). En effet, la canine de par sa taille, son développement plus lent, et son chemin d’éruption plus long à parcourir, a parfois des difficultés à trouver un chemin entre les dents pour prendre place sur l’arcade dentaire. Celle-ci a, en revanche, un rôle fonctionnel fondamental : elle guide les mouvements lors de la mastication.
Les canines sont censées se positionner vers l’âge de 11-12 ans. En cas de canine restant incluse, tous les efforts doivent être réalisés pour les aider à sortir en position correcte.
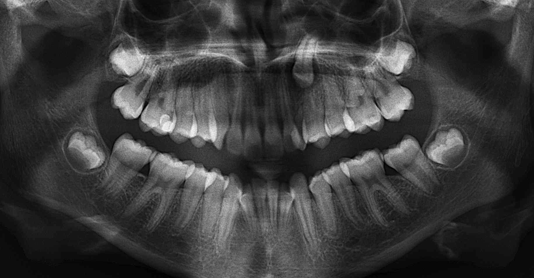
Dépistage et traitement
Le dépistage précoce est un élément fondamental de la réussite du traitement. Plus le patient est âgé et moins le potentiel d’éruption de la canine sera important. Une radiographie panoramique peut être réalisée de façon précoce pour permettre de diagnostiquer cette pathologie de l’éruption. Le praticien cherchera des dents manquantes, des dents surnuméraires, des problèmes concernant l’espace disponible sur l’arcade et orientera si nécessaire le patient vers un orthodontiste.
Le traitement des inclusions amènera l’orthodontiste à placer des bagues pour rétablir l’espace nécessaire à l’éruption de la dent définitive. Une collaboration avec un chirurgien peut alors être nécessaire pour :
- extraire des dents de lait ou dents surnuméraires pouvant empêcher l’évolution idéale de la dent incluse
- réaliser un dégagement chirurgical de la dent incluse, avec ou sans collage d’un module de traction (bracket collé avec fil permettant de tracter la dent à sa place). Il s’agit, sous anesthésie locale, de soulever la gencive pour accéder à la dent retenue, et si possible, de mettre en place une bague permettant ensuite à l’orthodontiste de travailler sur cette dent.

